Preparo para Lentes de contato.
As lentes de contato são uma realidade nos consultórios odontológicos e uma demanda cada vez mais crescente por parte dos pacientes. Porém, a grande dúvida que o cirurgião-dentista se depara é com a quantidade de desgaste que se deve fazer no dente e onde devemos fazê-lo para otimizar os resultados anatômicos e estéticos associados ao tratamento minimamente invasivo.
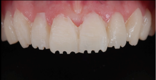
Uma sugestão para demarcar o local de onde deveremos realizar os desgastes minimamente invasivos é a utilização dos mock-ups como guias de preparo para as lentes de contato. Após a realização do enceramento diagnóstico, com as modificações anatômicas que melhorarão a estética do paciente, confecciona-se um mock-up de resina. Com os mock-ups em posição, fazemos 3 sulcos nas bordas incisais com 0,5 mm de profundidade com pontas diamantadas 4138, no 1/3 distal, no 1/3 médio e no 1/3 mesial.
Em seguida fazemos 3 desgastes horizontais, um no terço incisal, outro no terço médio e outro no terço cervical, todos também com 0,5mm de profundidade feitas com pontas diamantadas 4138.
Os sulcos horizontais devem ser pintados com lápis preto de forma bem intensa.
Em seguida removemos os mock-ups. Os locais que aparecem pintados em dente devem ser desgastados uniformemente para que a forma determinada no enceramento e no mock-up sejam respeitadas e que a porcelena possua uma espessura adequada para suportar os esforços a que ela será submetida.
![]() |
| PREPARO SOBRE OS MOCK-UPS |
![]() |
| MARCAÇÕES SOBRE OS PREPAROS COM LÁPIS PRETO |
![]() |
| NOTAR QUE APENAS A BORDA INCISAL DO DENTE 11 FOI MARCADA E DEVE SER PREPARADA> ESTE CASO TRATA-SE DE CORREÇÃO ANATÔMICA COM ACRÉSCIMO DE PORCELANA,COM DESGASTE APENAS NA BORDA INCISAL DO 11 |
![]() |
| LENTES DE CONTATO NOS DENTES 14, 13, 12, 11, 21, 22, 23 e 24 CIMENTADAS. COM PERFEITA HARMONIZAÇÃO DE FORMA E COR MELHORANDO A EXPRESSÃO DO PACIENTE |
Caso Clínico gentilmente cedido pelo Dr. Braulio Paolucci, criador do Odontovisagismo.
![]() |
| Prof. Luis Fernando Sant'Anna membro Esthetic Group |




OK.jpg)