Laminados Cerâmicos: um procedimento estético minimamente invasivo
Porcelain laminate veneers: A minimally invasive
esthetic procedure(Laminados
cerâmicos: um procedimento estético minimamente invasivo) Rafael
de Almeida Decurcio Paula de
Carvalho Cardoso
Os autores descreveram o uso de facetas de porcelana sem a realização de
desgaste dental, através da apresentação de um caso clínico em uma paciente de
20 anos, a qual apresentava diastemas interincisivos centrais superiores,
laterais de tamanho reduzido e manchas cervicais por tetraciclina.
Para reestabelecer o sorriso da paciente, foi planejado clareamento
dental caseiro e de consultório e facetas de porcelana nos elementos afetados
(13 a 23). No clareamento dental usou-se a técnica combinada, iniciando-se pelo
de consultório com peróxido de hidrogênio a 35%, por 45 minutos, sem o uso de
luz, sendo está técnica complementada pelo clareamento caseiro por 16 dias, 2
horas por dia, com peróxido de carbamida a 16%. Após uma semana do fim do
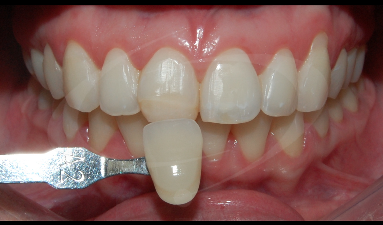
clareamento, realizou-se a moldagem dos dentes com silicona de adição, usando a
técnica dos dois fios, registro de mordida, e escolha da cor. Tudo isso, além
do enceramento diagnóstico e as fotos, foram enviados ao laboratório.
As facetas, fabricadas com IPS Empress®, foram testadas com a pasta
try-in do cimento Variolink® para simular a cor final da restauração. Após essa
etapa, o preparo interno das peças foi realizado com ácido fluorídrico 4% por
60 segundos, lavagem e secagem, silano por 1 minuto e sistema adesivo
Scotchbond multi purpose plus®. Já nos dentes, fez-se profilaxia e inserção de
um fio 00 no sulco, além de ácido fosfórico a 37% por 30 segundos, lavagem pelo
dobro do tempo e sistema adesivo. Após esses processos, realizou-se a
cimentação.
Concluiu-se que essa
técnica oferece excelente combinação de dureza, resistência e resiliência, além
de promover resultados altamente estéticos quando bem planejada e executada.
 |
Profa. Natalia Celiberto membro Esthetic Group |