Equipe Esthetic Group

Equipe Esthetic Group

segunda-feira, 22 de abril de 2013

Caso Clínico

Facetas Laminadas em Porcelana Pura.

Caso clínico de seis facetas laminadas confeccionadas em porcelana pura executado por aluna do curso de especialização em dentística com ênfase em estética.

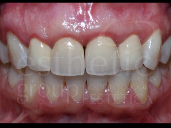
1 Sorriso Inicial
Situação Inicial


2 Abridor Inicial
Situação Inicial


3 Fundo Escuro inicial
Situação Inicial

4 Abridor Final
Caso Finalizado

5 Fundo Escuro Final
Caso Finalizado

6 Sorriso Final
Caso Finalizado

Caso Finalizado

Foto Natalia

Caso Clínico Executado pela Dra. Natália Aiala, aluna Esthetic Group.

Nenhum comentário: